

If you’re missing one or more teeth and looking for a permanent solution that doesn’t involve surgery, getting dental bridges might be exactly what you need. It’s a tried-and-tested treatment available across Malaysia and here at our own dental bridge clinic that offers both cosmetic and functional benefits with minimal downtime.
But what actually happens during the procedure? What should you expect before and after? And how long does a bridge really last? Let’s walk through it, step by step.

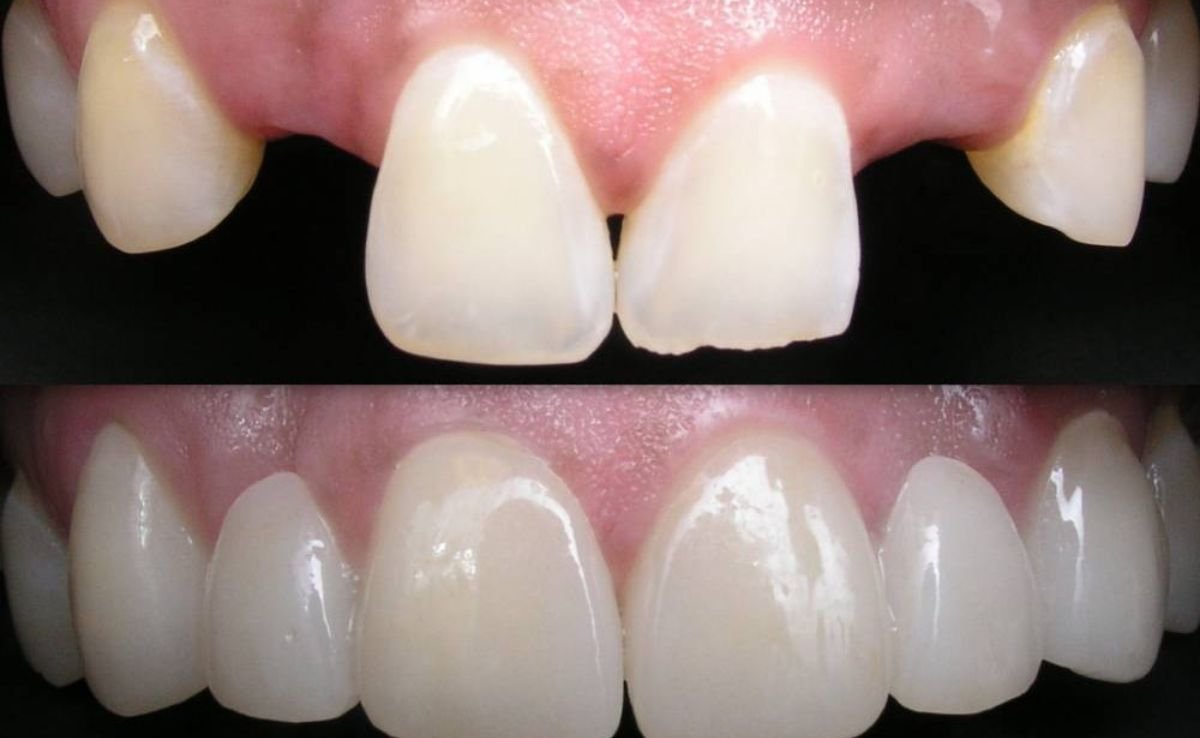
A dental bridge is a custom-made restoration designed to fill the gap left by one or more missing teeth. Unlike dentures, it’s fixed in your mouth 24/7. And unlike implants, it doesn’t involve surgery or titanium screws placed into your jaw.
Most people get a bridge when they’ve lost a tooth and want to restore their bite, appearance, and speech without waiting months for an implant. It’s also a common choice when the surrounding teeth already need crowns. This allows the bridge to attach securely without additional intervention.
The core appeal of a bridge is simplicity. It uses your natural teeth as anchors, supporting a prosthetic tooth (or teeth) in between. That means no incisions, no recovery from surgery, and a relatively short treatment timeline. Plus, it may require just two dental visits.
While implants offer excellent durability, they aren’t right for everyone. Some patients don’t have enough bone, want faster results, or prefer a more cost-effective approach. For these cases, a dental bridge provides a long-lasting, highly aesthetic alternative especially when done by an experienced team.

The full installation process usually takes two to three visits spread over a few weeks with each session lasting around an hour or so. The first visit involves preparation and impressions. A temporary bridge is placed while the final bridge is fabricated. The last visit is for permanent placement and bite adjustment.

It all starts with a comprehensive exam. Your dentist will take X-rays to evaluate the condition of the supporting teeth, also called “abutment teeth” and confirm whether a bridge is suitable.
In some cases, the dentist might recommend scaling and polishing or cavity treatment before proceeding, to ensure the surrounding teeth are healthy enough to support a bridge long-term.
If your teeth qualify, the next step is reshaping them. The dentist will gently file down the abutment teeth so they can act as stable supports for the crowns that will hold the bridge in place.
This preparation phase is essential. The success of your bridge depends on the strength and fit of the supporting teeth.
After reshaping, impressions are taken to create your custom bridge. These impressions are sent to a dental lab where technicians craft a restoration that fits your bite and matches your natural tooth colour.
In the meantime, a temporary bridge is placed. It protects the prepared teeth, helps you chew, and prevents sensitivity while your permanent bridge is being made.
About 1–2 weeks later, your final bridge is ready. During this visit, the dentist removes the temporary, cleans the area, and checks the fit of the new bridge. If everything looks good both aesthetically and functionally, the bridge cemented in place permanently. You’ll leave that same day with a fully restored smile.
There’s little to no downtime. Most patients return to work the same or next day. You may experience mild sensitivity for a few days, especially to hot or cold food, but this typically fades as your mouth adjusts.
A follow-up check is usually scheduled after a few weeks to ensure everything is seated properly.

Before the procedure, you might find yourself adjusting how you chew, avoiding certain foods, or feeling self-conscious about your smile. After the bridge, you’ll regain full chewing power and a symmetrical bite without the visible gap.
Dental bridges are designed to blend in with your natural teeth. Once placed, the difference is dramatic. For many patients, it’s not just about function, it’s about looking like yourself again when you smile in the mirror or photos.
A missing tooth can affect how you pronounce words, especially sounds like “s” or “th.” With a bridge, speech clarity often improves. And eating becomes more comfortable; no more avoiding chewy or crunchy foods out of fear.

With proper care, a bridge can last 5 to 15 years; sometimes longer. Factors like grinding, poor hygiene, smoking, and sugary diets can shorten its life. Regular dental visits help catch minor issues before they turn into bridge replacements
Brush twice daily with a fluoride toothpaste. Use special floss or interdental brushes to clean under the bridge. Avoid biting down on ice or hard sweets. And of course, schedule routine checkups at your local dentist.
Delaying replacement puts your natural teeth and gums at risk. If your bridge is showing signs of failure, early action can prevent more serious issues like infection or tooth loss.

Your dental bridge needs the same care as natural teeth. Brushing and flossing are essential, but you’ll also need to clean under the bridge using a floss threader or water flosser to prevent bacteria buildup.
Sticky, hard, or chewy foods should be avoided at first. Give your gums time to adjust. Try to chew on both sides evenly. This prevents pressure from being concentrated in one area.
You should go to the dentist at least twice a year or more if you have a history of gum issues. Regular cleanings will keep your bridge and the surrounding teeth in top shape.
Yes. A dental bridge can be removed by a dentist if it becomes loose, damaged, or needs replacement. The removal process must be done carefully to avoid harming the supporting teeth. Dentists may also remove a bridge if decay develops under it or if the bite needs correction.
A dental bridge itself does not get infected, but the teeth and gums supporting it can. Plaque buildup around the edges of the bridge can lead to gum inflammation and tooth decay underneath. If left untreated, this can cause infection, discomfort, and loosening of the bridge.
Most people report that a dental bridge feels natural after the initial adjustment period. However, during the first few days, you may notice a slight difference in bite or texture as your mouth adapts. If discomfort persists beyond a week, it’s best to consult your dentist to ensure the bridge fits correctly.
Most patients report only mild discomfort. Local anaesthesia is used during preparation, so the procedure itself is comfortable. Some sensitivity may occur for a few days after treatment, but this usually settles as your mouth adjusts to the new bridge.
In some cases, same-day bridges may be possible using digital scanning and in-clinic milling technology. However, not all cases qualify. Your dentist will assess whether your teeth and bite allow for same-day treatment or if a traditional multi-visit approach is safer and more predictable.
At Unique Dental Clinic Kota Kinabalu, we combine clinical expertise with modern restorative techniques to deliver reliable, functional, and natural-looking dental bridge treatment. Every dental bridge is carefully planned and customised to restore chewing function, enhance appearance, and ensure long-term comfort using high-quality materials and precise fitting.
Here’s why patient trust us:
Skilled in managing complex cases with precision.
Ensures accurate diagnosis and efficient treatment.
Tailored treatment plans to suit individual needs.
Painless procedures in a relaxing environment

A missing tooth should not stop you from eating, smiling or speaking confidently. Book a consultation at Unique Dental at Kota Kinabalu today and let us guide you through the right dental bridge procedure for your needs.
Email : uniquedentalclinickk@gmail.com
